医院紹介・アクセス
医院情報
| 医院長名 | 馬渕隆史 |
| 住所 | 〒601-1366 京都市伏見区醍醐大構町13 醍醐ビル2F →グーグルマップへ |
| 電話番号 | 075-573-8100 |
| 最寄り駅 | 京都市営地下鉄東西線 醍醐駅から徒歩1分 |
| 診療科目 | 一般歯科 小児歯科 矯正歯科 インプラント 審美歯科 義歯治療 レーザー・無痛治療 |
| その他 | 駐車場 |
医院理念
「歯は一生のパートナー」を医院の理念としております。
・今までの歯科医院では満足できない
・できるだけ歯を削りたくない
・充分説明を受け、納得した上で最良の治療を受けたい
・予防管理の方法を指導してほしい
・矯正やインプラントの最新の治療を知りたい。
こんな風に思われている患者さんと、二人三脚で歯と身体を健康に保つお手伝いができれば幸いです。


インドアビュー
院内紹介
待合室
子どもたちの好きな絵本や漫画雑誌がたくさん有り、ゆとりのある空間にしております。

受付
患者を温かくお迎えします。

歯のケアグッズ
どれにしたらいいかわからないときは、ドシドシご質問ください。


パウダールーム
間接照明の落ち着いた空間です。

診察室
各ユニットはパーテーションで仕切られ、ゆったりとスペースを取ってあります。
診療中には、他の患者さんと顔を合わせることはありません。
十分にコミュニケーションを取りながら診療が受けられます。
診療中には、他の患者さんと顔を合わせることはありません。
十分にコミュニケーションを取りながら診療が受けられます。




正確な診査・診療のための設備
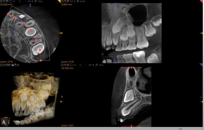
歯科用CT
従来のフィルムを使用したレントゲン撮影に比べ、人体に受ける放射線の量を約1/4~1/10に抑える事が可能です。
3次元歯科用CTを設置している歯科医院は、決して多くありません。
この歯科用CT(パノラマと3Dセンサーを駆使した回転式デジタルレントゲン)は
CTは立体的な画像・断層写真が写し出されます。
インプラントの診査・歯周病の程度・親知らずの状態の把握を正確に行うことができ、より安全、確実に治療することができます。
3次元歯科用CTを設置している歯科医院は、決して多くありません。
この歯科用CT(パノラマと3Dセンサーを駆使した回転式デジタルレントゲン)は
CTは立体的な画像・断層写真が写し出されます。
インプラントの診査・歯周病の程度・親知らずの状態の把握を正確に行うことができ、より安全、確実に治療することができます。

どんな画像が映し出されるの?
お子様の歯並びの萌出方向を調べたり

顎が開きにくい、関節雑音が鳴る方や

ご自身の顎顔面の形を総合的に診査できます!!

歯科用顕微鏡「マイクロスコープ」
精度が求められる歯の治療に必須です。
勘頼りだった治療を、患部をしっかりと見て治療することで精度が上がります。
勘頼りだった治療を、患部をしっかりと見て治療することで精度が上がります。


レーザー治療機器
無痛治療、疼痛緩和、手術の成功率の向上など最先端治療を提供するため、各種レーザー治療器を揃えております。
1. ヤグレーザー(左側)/炭酸ガス(CO2)レーザー(右側)

2.最新半導体レーザー(世界最小型)

口腔内3Dスキャナー「iTero element(アイテロ エレメント)」
その他検査室
子どもの咬合と、姿勢や、成長について探求するために、いろいろな測定道具を揃えています。

口腔外バキューム

電動注射器

エアロサービス
空気清浄装置により快適で健康な空間です。

ミニマムインターベーション(最大限歯を削らない治療)
最小限の治療で最大の効果をあげるために、皆様のお口の状況や生活習慣に合わせて質の高い医療をご提供致します。

子どもの咬合を考える会
噛み合わせは何も”子どもだけ”ではございません。
赤ちゃんからの予防育児から大人の入れ歯、インプラント、咬合に至るまで日々研究しております。
写真は当院が園医をしている醍醐保育所での指導風景です。
→子どもの咬合を考える会へ
赤ちゃんからの予防育児から大人の入れ歯、インプラント、咬合に至るまで日々研究しております。
写真は当院が園医をしている醍醐保育所での指導風景です。
→子どもの咬合を考える会へ

お子様へのご褒美
当院では治療後のお子様にご褒美を差し上げています。
そうすることでお子様の治療に対するモチベーションを維持します。
そうすることでお子様の治療に対するモチベーションを維持します。

提携医療機関のご紹介
大がかりな手術や全身麻酔用で治療が困難な場合は、下記の歯科口腔外科との地域医療連携をしていますので安心してお越し下さい。
京都府立医科大学附属病院
武田病院
京都国立病院
京都日赤病院
音羽病院
京都大学付属病院
極真空手協力医
まぶち歯科医院は、スポーツを安全に楽しむために子どもの育成に協力しています。






